Dolore al gomito
Il dolore al gomito è un problema che affligge molte persone. Il disagio delle articolazioni del gomito può essere causato da una serie di...
Scoliosi: gradi, cause, sintomi, trattamento
La scoliosi è un disturbo muscolo-scheletrico comune, una curvatura a zig-zag della colonna vertebrale nel piano frontale (lateralmente): a sinistra o a destra rispetto...
Osteoartrite: gradi, sintomi, trattamento
L'osteoartrite è una malattia cronica delle articolazioni associata a cambiamenti degenerativi e distrofici delle loro strutture, che interessano principalmente la cartilagine. La malattia ha...
Uno schiocco di dita sulla mano
Il dito a scatto (malattia di Nott, legamento stenotico) è caratterizzato dall'incapacità di estendere il dito indipendentemente dalla posizione di flessione.Cause dello schiocco delle...
Artrite: cause, sintomi, trattamento
L'artrite è un termine collettivo per indicare diverse malattie sistemiche (che interessano l'intero organismo) che colpiscono le articolazioni e il tessuto connettivo circostante, ma...
Reumatismi: cause, sintomi, trattamento
Il reumatismo è una malattia autoimmune di origine sistemica, che coinvolge principalmente il cuore, il sistema nervoso, le articolazioni, la pelle e le membrane...
Sinovite: cause, sintomi, trattamento
La sinovite è un'infiammazione della membrana sinoviale dell'articolazione, la guaina del tendine. La sinovia ricopre normalmente la capsula articolare e secerne liquido per lubrificare...
Radicolite: cause, sintomi, trattamento
La radicolite è un complesso di sintomi infiammatori o degenerativo-distrofici (piuttosto che una malattia indipendente) della colonna vertebrale che provoca il pizzicamento delle radici...
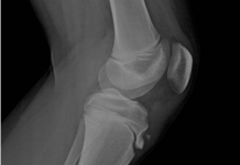
Malattia di Schlatter: cause, sintomi, trattamento
La malattia di Schlatter è la comparsa di un nodulo infiammatorio sensibile nell'area dell'articolazione del ginocchio, dovuto allo sviluppo di una necrosi asettica (osteocondrosi)...
Poliartrite: cause, sintomi, trattamento
La poliartrite è un disturbo infiammatorio articolare localizzato a più articolazioni. In alcuni casi, tuttavia, il danno può interessare non solo l'articolazione e la...













